Ból pięty to dolegliwość, która potrafi skutecznie utrudnić codzienne funkcjonowanie. Jeśli podejrzewasz u siebie ostrogę piętową lub masz już diagnozę, ten artykuł dostarczy Ci kompleksowej wiedzy na temat dostępnych metod leczenia farmakologicznego, pomagając zrozumieć, kiedy i jakie leki mogą przynieść ulgę, a także jak włączyć je w szerszy plan terapeutyczny.
Skuteczne leczenie ostrogi piętowej wymaga połączenia farmakoterapii z kompleksową fizjoterapią i zmianą nawyków.
- Leki bez recepty (NLPZ doustne i miejscowe) to pierwsza linia obrony w łagodzeniu bólu i stanu zapalnego.
- Silniejsze leki na receptę są stosowane, gdy środki OTC okazują się niewystarczające.
- Blokady sterydowe mogą przynieść szybką ulgę, ale wiążą się z ryzykiem i powinny być stosowane rozważnie.
- Leczenie farmakologiczne jest objawowe i nie usuwa przyczyny ostrogi piętowej.
- Kluczowe dla wyleczenia jest połączenie farmakoterapii z fizjoterapią, odpowiednim obuwiem i ćwiczeniami.
- Właściwa diagnoza ortopedyczna jest niezbędna do rozpoczęcia skutecznego leczenia.

Ból pięty nie daje Ci żyć? Zrozum, czym jest ostroga i jak ją pokonać
Ostroga piętowa, choć nazwa brzmi groźnie i sugeruje kostny wyrostek, jest w rzeczywistości potocznym określeniem na
zapalenie rozcięgna podeszwowego. To schorzenie, które z mojego doświadczenia dotyka wielu osób, powstaje w wyniku przewlekłego przeciążenia i mikrourazów rozcięgna silnej tkanki łącznej biegnącej od pięty aż po palce stopy. Wyobraź sobie, że każdy krok, każde obciążenie stopy, powoduje drobne uszkodzenia tej struktury. Kiedy organizm nie nadąża z regeneracją, pojawia się stan zapalny, a w konsekwencji uporczywy ból pięty, często najsilniejszy rano po wstaniu z łóżka lub po dłuższym odpoczynku.
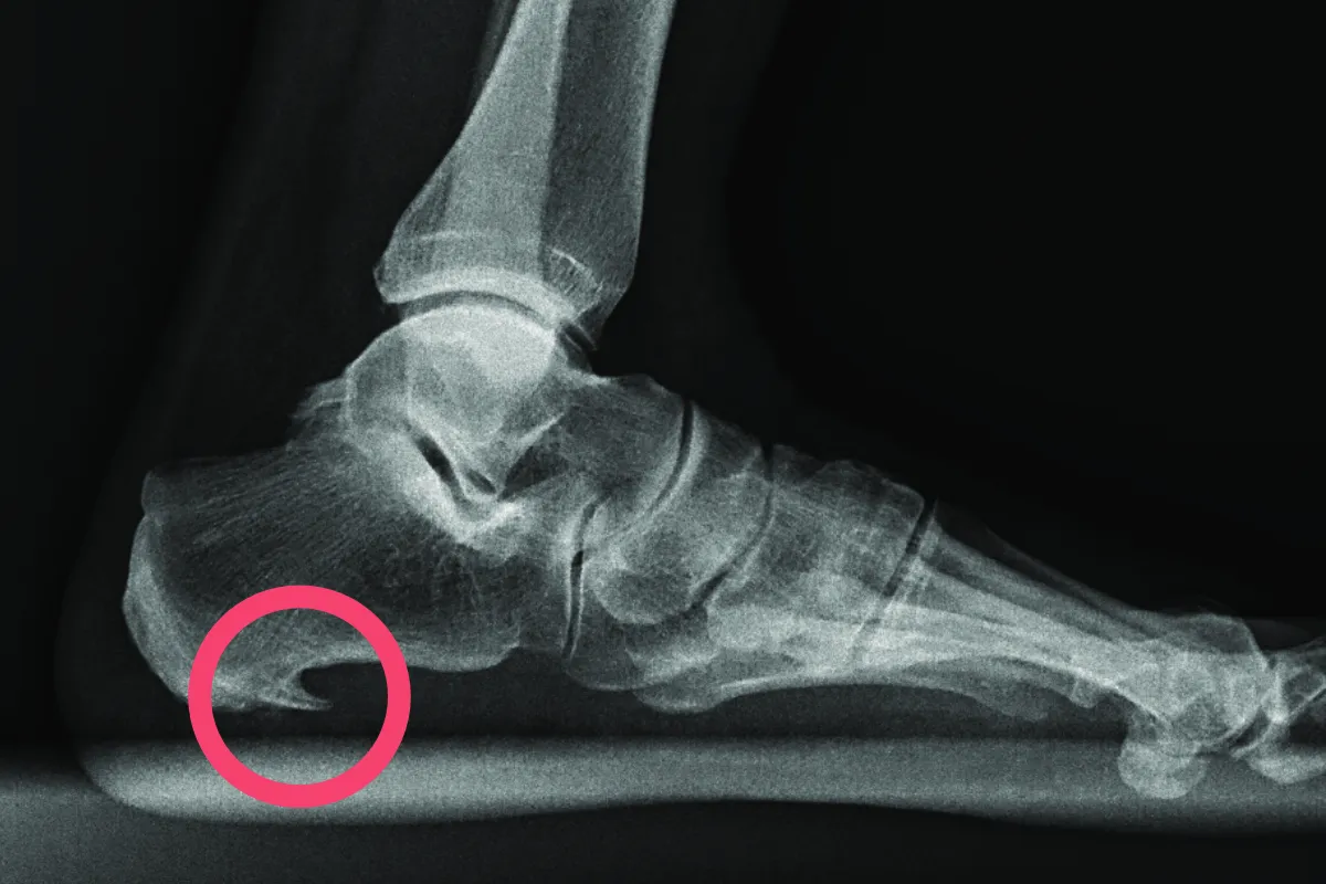
Właściwa diagnoza jest tu absolutnie kluczowa. Zawsze powtarzam moim pacjentom, że bez wizyty u ortopedy nie ma mowy o skutecznym leczeniu. Lekarz postawi diagnozę na podstawie badania klinicznego, podczas którego ucisk na odpowiednie punkty na pięcie wywoła ból. Potwierdzeniem może być zdjęcie rentgenowskie (RTG), które pokaże ewentualne zwapnienia w okolicy przyczepu rozcięgna, lub badanie ultrasonograficzne (USG), które pozwoli ocenić stan samego rozcięgna i otaczających tkanek.
Apteka na ratunek: Przegląd leków stosowanych w leczeniu ostrogi piętowej
Kiedy już wiemy, z czym mamy do czynienia, możemy sięgnąć po środki, które pomogą złagodzić ból i stan zapalny. Na początek często wystarczają leki dostępne bez recepty.
Pierwsza pomoc bez recepty (OTC) co kupić, by złagodzić ból?
W pierwszej kolejności, aby złagodzić ból i zmniejszyć stan zapalny, sięgamy zazwyczaj po doustne niesteroidowe leki przeciwzapalne (NLPZ). Są to leki pierwszego wyboru, dostępne w każdej aptece. Do najpopularniejszych substancji czynnych należą:
- Ibuprofen (np. Ibuprom, Nurofen)
- Naproksen
- Kwas acetylosalicylowy (w dawkach przeciwbólowych)
Pamiętajmy jednak, że ich stosowanie powinno być krótkotrwałe, zazwyczaj przez 3 do 7 dni, aby uniknąć potencjalnych skutków ubocznych, zwłaszcza ze strony układu pokarmowego. Zawsze warto zapoznać się z ulotką i nie przekraczać zalecanej dawki.
Bardzo skuteczne, a jednocześnie bezpieczniejsze dla żołądka, są maści i żele z NLPZ do stosowania miejscowego. Działają one bezpośrednio w miejscu bólu, co minimalizuje ogólnoustrojowe ryzyko. Do najczęściej polecanych należą preparaty zawierające:
- Diklofenak (np. Voltaren Max, Dicloziaja, Olfen żel)
- Ibuprofen (np. Ibalgin Sport)
- Naproksen
Tabletki czy maści? Porównanie skuteczności i bezpieczeństwa
Wybór między doustnymi a miejscowymi NLPZ często rodzi pytania. Doustne leki działają ogólnoustrojowo, co oznacza, że substancja czynna dostaje się do krwiobiegu i dociera do miejsca stanu zapalnego "od środka". Mogą przynieść szybką ulgę, ale niosą ze sobą ryzyko podrażnienia żołądka, a przy długotrwałym stosowaniu również obciążenia nerek czy układu krążenia. Z kolei maści i żele działają lokalnie. Ich substancja czynna wnika przez skórę bezpośrednio do zmienionych chorobowo tkanek. Dzięki temu ryzyko ogólnoustrojowych skutków ubocznych jest znacznie mniejsze, co czyni je bezpieczniejszym wyborem, zwłaszcza dla osób z wrażliwym żołądkiem. Należy jednak pamiętać, że ich penetracja jest ograniczona, a więc w przypadku głęboko umiejscowionego stanu zapalnego mogą być mniej skuteczne niż tabletki.
Gdy ból nie ustępuje leki na receptę, o które warto zapytać lekarza
Jeżeli leki dostępne bez recepty nie przynoszą wystarczającej ulgi, kolejnym krokiem jest konsultacja z lekarzem, który może przepisać silniejsze doustne NLPZ na receptę. Przykładami takich preparatów są Nimesil, Ketonal Forte czy Doreta. Są to leki o większej sile działania, które w wielu przypadkach potrafią skutecznie opanować silny ból i stan zapalny. Z mojego doświadczenia wynika, że często są one przepisywane w połączeniu z lekami osłaniającymi żołądek (np. inhibitorami pompy protonowej), aby zminimalizować ryzyko podrażnień. Pamiętajmy, że te leki zawsze powinny być stosowane pod ścisłą kontrolą lekarza, który określi odpowiednią dawkę i czas trwania terapii.
Zastrzyki z kortykosteroidów (tzw. blokady): Jest to iniekcja silnego leku przeciwzapalnego (np. kortyzol, betametazon) bezpośrednio w okolicę rozcięgna podeszwowego, często w połączeniu ze środkiem znieczulającym. Blokada może przynieść szybką i znaczącą ulgę w ból, trwającą od kilku tygodni do kilku miesięcy.
Zastrzyk w piętę, czyli "blokada sterydowa": Kiedy jest ostatecznością, a kiedy rozwiązaniem?
Blokady sterydowe to temat, który budzi wiele emocji i dyskusji, zarówno wśród pacjentów, jak i specjalistów. Z jednej strony, potrafią przynieść niemal natychmiastową ulgę, z drugiej wiążą się z pewnymi ryzykami.
Jak działa blokada i czy zabieg jest bolesny?
Zabieg "blokady sterydowej" polega na iniekcji kortykosteroidów (np. kortyzolu, betametazonu), czyli bardzo silnych leków przeciwzapalnych, bezpośrednio w okolicę zmienionego chorobowo rozcięgna podeszwowego. Często do kortykosteroidu dodaje się środek znieczulający, co sprawia, że sam zabieg jest z reguły dobrze tolerowany i ból jest minimalizowany. Celem jest szybkie i intensywne wygaszenie stanu zapalnego. Z mojego doświadczenia wynika, że blokada może przynieść szybką i znaczącą ulgę w bólu, która utrzymuje się od kilku tygodni do kilku miesięcy. To dla wielu pacjentów prawdziwe wybawienie, pozwalające na powrót do normalnego funkcjonowania.
Skuteczność kontra ryzyko co musisz wiedzieć przed podjęciem decyzji?
Niestety, blokady sterydowe nie są pozbawione kontrowersji i potencjalnych ryzyk. Największe obawy budzi osłabienie rozcięgna podeszwowego, a w skrajnych przypadkach nawet jego zerwanie, zwłaszcza gdy iniekcje są wykonywane zbyt często lub w nieodpowiedniej technice. Istnieje również ryzyko zaniku tkanki tłuszczowej, która naturalnie chroni piętę, co może prowadzić do dalszych problemów. Dlatego też, jako ekspert, zawsze podkreślam, że blokady powinny być stosowane z dużą rozwagą. Zazwyczaj zaleca się wykonywanie maksymalnie 2-3 iniekcji w roku, a co najważniejsze powinny być one przeprowadzane pod kontrolą USG. Dzięki temu lekarz precyzyjnie trafia w miejsce stanu zapalnego, minimalizując ryzyko uszkodzenia otaczających tkanek.
Opinie pacjentów i lekarzy: Kiedy warto rozważyć zastrzyk?
Decyzja o wykonaniu blokady sterydowej jest zawsze indywidualna. Zazwyczaj rozważa się ją w przypadku silnego, przewlekłego bólu, który nie reaguje na inne, mniej inwazyjne metody leczenia, takie jak doustne leki przeciwzapalne, fizjoterapia czy zmiany w obuwiu. W mojej praktyce widzę, że pacjenci, którzy przez długi czas cierpieli z powodu ostrogi i wyczerpali inne opcje, często odczuwają ogromną ulgę po blokadzie. Jednak zawsze podkreślam, że jest to rozwiązanie objawowe, które nie usuwa przyczyny problemu. Decyzja o zastrzyku powinna być podjęta po dokładnej konsultacji z lekarzem, który przedstawi wszystkie za i przeciw, a także omówi realne oczekiwania i potencjalne ryzyka.
Największe błędy w leczeniu farmakologicznym sprawdź, czy ich nie popełniasz!
W leczeniu ostrogi piętowej, podobnie jak w wielu innych schorzeniach, łatwo o błędy, które mogą spowolnić powrót do zdrowia lub nawet pogorszyć sytuację. Chciałbym zwrócić uwagę na dwa kluczowe aspekty.
Pułapka leczenia objawowego: Dlaczego same tabletki to za mało?
Jednym z największych błędów, jakie widzę w praktyce, jest poleganie wyłącznie na leczeniu farmakologicznym. Pamiętajmy, że leki przeciwbólowe i przeciwzapalne są leczeniem objawowym. Oznacza to, że łagodzą ból i zmniejszają stan zapalny, ale nie usuwają pierwotnej przyczyny problemu, czyli przewlekłego przeciążenia rozcięgna podeszwowego. Jeśli będziemy tylko "zagłuszać" ból tabletkami, a jednocześnie nie zmienimy nawyków, nie wprowadzimy fizjoterapii czy odpowiedniego obuwia, problem będzie nawracał, a nawet może się pogłębiać. Maskowanie bólu może prowadzić do dalszych mikrourazów i uszkodzeń, ponieważ nie odczuwając dyskomfortu, możemy nieświadomie nadmiernie obciążać chorą stopę. Moim zdaniem, to prosta droga do przewlekłego schorzenia.
Jak długo można bezpiecznie stosować leki przeciwbólowe?
Długotrwałe stosowanie niesteroidowych leków przeciwzapalnych (NLPZ), nawet tych dostępnych bez recepty, wiąże się z szeregiem ryzyk. Najczęściej wymieniane to podrażnienia błony śluzowej żołądka, które mogą prowadzić do zgagi, niestrawności, a nawet wrzodów. Ponadto, długotrwałe przyjmowanie NLPZ może negatywnie wpływać na pracę nerek oraz zwiększać ryzyko problemów sercowo-naczyniowych. Ogólne wytyczne mówią o tym, aby leki bez recepty stosować nie dłużej niż 7 dni. Jeśli po tym czasie ból nadal się utrzymuje, konieczna jest wizyta u lekarza. Dłuższe leczenie farmakologiczne, zwłaszcza silniejszymi preparatami na receptę, zawsze wymaga nadzoru lekarza, który będzie monitorował stan zdrowia pacjenta i dostosowywał terapię do indywidualnych potrzeb, minimalizując ryzyko powikłań.
Leki to nie wszystko: Stwórz kompletny plan walki z ostrogą piętową
Jak już wspomniałem, leki to tylko jeden element układanki. Aby skutecznie pokonać ostrogę piętową, konieczne jest holistyczne podejście. Z mojego doświadczenia wynika, że prawdziwy sukces osiągamy, łącząc farmakoterapię z innymi, równie ważnymi metodami.
Klucz do sukcesu: Dlaczego fizjoterapia (np. fala uderzeniowa) jest niezbędna?
Fizjoterapia odgrywa absolutnie fundamentalną rolę w kompleksowym leczeniu ostrogi piętowej. To właśnie ona, a nie tylko leki, adresuje przyczynę problemu i wspiera regenerację. Wśród najskuteczniejszych metod, które polecam, znajdują się:
- Fala uderzeniowa (ESWT): To jedna z najnowocześniejszych i najskuteczniejszych terapii. Fale akustyczne o wysokiej energii stymulują procesy naprawcze w tkankach, zmniejszają ból i rozbijają zwapnienia.
- Ultradźwięki: Poprawiają ukrwienie, zmniejszają stan zapalny i przyspieszają gojenie.
- Jonoforeza: Wykorzystuje prąd elektryczny do wprowadzania leków przeciwzapalnych bezpośrednio do tkanek.
- Terapia manualna: Fizjoterapeuta poprzez odpowiednie techniki mobilizuje tkanki, rozluźnia napięcia i poprawia biomechanikę stopy.
Wszystkie te metody mają na celu redukcję bólu i stanu zapalnego, a także wspomaganie regeneracji uszkodzonych tkanek rozcięgna. Bez fizjoterapii leczenie będzie jedynie doraźne.
Twoi cisi sprzymierzeńcy: Rola wkładek ortopedycznych i odpowiedniego obuwia
Nie mogę przecenić znaczenia odpowiedniego obuwia i wkładek ortopedycznych. To nasi "cisi sprzymierzeńcy" w walce z ostrogą. Obuwie powinno zapewniać dobrą amortyzację, szczególnie w okolicy pięty, oraz odpowiednie wsparcie dla łuku stopy. Unikajmy płaskich, twardych podeszew i butów na wysokim obcasie. Równie ważne są indywidualnie dopasowane wkładki ortopedyczne. Ich zadaniem jest odciążenie rozcięgna podeszwowego, skorygowanie ewentualnych wad postawy stopy (np. płaskostopia) i poprawa ogólnej biomechaniki chodu. Dobrze dobrane wkładki potrafią znacząco zmniejszyć obciążenie pięty i stworzyć optymalne warunki do gojenia.
Przeczytaj również: Leki na potencję: Bezpieczne czy ryzykowne? Werdykt eksperta.
Proste ćwiczenia rozciągające, które możesz wykonać w domu, by poczuć ulgę
Regularne wykonywanie prostych ćwiczeń rozciągających to kolejny filar skutecznego leczenia. Pomagają one poprawić elastyczność rozcięgna podeszwowego i mięśni łydki, co jest kluczowe w zmniejszaniu napięcia i bólu. Oto kilka, które możesz wykonywać w domu:
- Rozciąganie rozcięgna podeszwowego: Usiądź na krześle, załóż chorą nogę na kolano drugiej. Chwyć palce chorej stopy i delikatnie pociągnij je w kierunku piszczeli, aż poczujesz rozciąganie w łuku stopy. Przytrzymaj 15-30 sekund, powtórz 3-5 razy.
- Rozciąganie mięśni łydki (ścięgno Achillesa): Stań przodem do ściany, oprzyj ręce na wysokości barków. Chorą nogę cofnij do tyłu, pięta pozostaje na podłodze, a kolano jest proste. Pochyl się do przodu, aż poczujesz rozciąganie w łydce. Przytrzymaj 15-30 sekund, powtórz 3-5 razy.
- Ćwiczenie z ręcznikiem: Usiądź na podłodze z wyprostowanymi nogami. Zaczep ręcznik o palce chorej stopy i pociągnij go do siebie, utrzymując piętę na podłodze. Przytrzymaj 15-30 sekund, powtórz 3-5 razy.
Pamiętaj, aby ćwiczenia wykonywać regularnie, najlepiej kilka razy dziennie, ale zawsze delikatnie, bez pogłębiania bólu.
Od diagnozy do wyleczenia Twój praktyczny plan działania krok po kroku
Walka z ostrogą piętową wymaga cierpliwości i konsekwencji, ale z odpowiednim planem działania możesz wrócić do pełnej sprawności. Oto kroki, które z mojego doświadczenia prowadzą do sukcesu:
- Wizyta u ortopedy i diagnoza: To absolutny fundament. Bez prawidłowej diagnozy nie ma mowy o skutecznym leczeniu. Lekarz wykluczy inne przyczyny bólu i potwierdzi ostrogę piętową.
- Pierwsza linia obrony leki OTC: Na początek zastosuj doustne NLPZ oraz maści i żele dostępne bez recepty. Pamiętaj o krótkotrwałym stosowaniu i monitorowaniu reakcji organizmu.
- Rozpoczęcie fizjoterapii i ćwiczeń: Nie zwlekaj! Równolegle z farmakoterapią rozpocznij serię zabiegów fizjoterapeutycznych (np. fala uderzeniowa) oraz regularne ćwiczenia rozciągające w domu.
- Modyfikacja obuwia i wkładki ortopedyczne: Zainwestuj w odpowiednie, amortyzujące obuwie i skonsultuj się z podologiem lub ortopedą w sprawie indywidualnie dopasowanych wkładek.
- Leki na receptę lub blokady sterydowe: Jeśli ból nie ustępuje pomimo powyższych działań, ponownie skonsultuj się z lekarzem. Może on rozważyć przepisanie silniejszych leków na receptę lub, w ostateczności, wykonanie blokady sterydowej, zawsze pod kontrolą USG.
- Cierpliwość i konsekwencja: Leczenie ostrogi piętowej to proces, który może trwać tygodniami, a nawet miesiącami. Kluczem jest cierpliwość i konsekwentne stosowanie się do zaleceń wszystkich specjalistów ortopedy, fizjoterapeuty i podologa. Tylko kompleksowe podejście da Ci szansę na trwałe uwolnienie się od bólu.
